Du Tango Des Neiges Eternelles

Du Tango Des Neiges Eternelles Braque de Weimar

Braque de Weimar

Telechargements

Télécharger Certificat de parentée Joy

Certificat de parentée Joy

Joy

Télécharger Résultats Test ADN Joy

Résultats Test ADN Joy

Joy

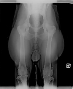
Télécharger Radiographie dysplasie Happy Days

Radiographie dysplasie Happy Days

Radiographie Happy

Télécharger Radiographie dysplasie Décibelle

Radiographie dysplasie Décibelle

Radiographie

Télécharger Résultat Dysplasie des Hanches Hulka dite Décibelle

Résultat Dysplasie des Hanches Hulka dite Décibelle

Résultat Dysplasie Décibelle : A/A

Télécharger Résultats Dysplasie des Hanches Happy

Résultats Dysplasie des Hanches Happy

Résultat Dysplasie Happy : A/A

Télécharger Carte d'identité génétique Happy Days

Carte d'identité génétique Happy Days

CIG

Télécharger Carte d'identité génétique Décibelle.

Carte d'identité génétique Décibelle.

CIG

Télécharger Résultats Test ADN Happy

Résultats Test ADN Happy

Propriétaire : BOX Justine Vétérinaire : SANSON Eric Animal (nom d’usage) : Happy Days Animal (nom officiel) : Happy Days Identifiant : 250 269 604 772 472

Télécharger Résultats Test ADN Décibelle

Résultats Test ADN Décibelle

Propriétaire : BOX Justine Vétérinaire : SANSON Eric Animal (nom d’usage) : Décibelle Animal (nom officiel) : Hulka Identifiant : 250 269 604 700 328